Detalles del Formulario

Usuario: David Sánchez Rico

Número de Historia: 757534

Fecha: 27 de septiembre de 2025, 22:03

Edad

Edad del paciente: 75 años

Sexo

Sexo del paciente: masculino

Alergias

Alergias: Metamizol

Tabaquismo

Fumador: si

Cantidad de cigarrillos como ex-fumador: 20-40

Tiempo sin fumar: >20 años

Cardiopatía Isquémica

Tiempo desde IAM: mas_1

Número de Vasos Tratados: ,

Número de Stents: 1

Aneurisma Aórtico

Abdominal: abdominal_infrarrenal

Enfermedad Vascular Cerebral

Tipo de ACV: isquemico

Secuelas: hemiparesia

Otras Enfermedades Asociadas

Otras Enfermedades: ***AP: - Cardiopatía isquémica por enfermedad coronaria de un vaso. Revascularización percutanea a coronaria DA mediante implantación de stent recubierto (2010). - Ictus isquémico cerebral bulbar anterior derecho por oclusión de arterias perforantes (2018). - Malformación arteriovenosa talámica derecha, hallazgo incidental sin signos de hemorragia y/o sangrado en seguimiento por parte de Neurocirugía. - Quemadura evolucionada 1% SCT piel posterior brazo izdo con necesidad de injerto de brazo derecho en diciembre 2022. - Ingreso reciente en junio 2025 - NAC FINE IV RIESGO ELEVADO con aislamiento de Pseudomona Aeruginosa. - Hábitos tóxicos: exfumador desde hace un años y medio de un paquete al dia durante 60 años (ICAT 60 p.a) - Situación basal: leve hemiparesia izquierda residual. Independiente para ABVD. No deterioro cognitivo. *** AP Quirúrgicos: - Úlcera gástrica 1986. - Hernia supraumbilical. - Menisco interno izquierdo. - Quemadura evolucionada 1% SCT piel posterior brazo izdo con necesidad de injerto de brazo derecho en diciembre 2022. - 05-10-2010: Endoprótesis aórtica bifurcada por AAA infrarrenal en rango asintomático + Hemobahn AIC + Stent autoexpandible AFS MID. - 11/09/2025: TEA femoral + profundoplastia + stent iliaco MII ***TTO habitual: rosuvastatina 20mg 1c/24h, pregabalina 100mg 1c/8h, lansoprazol 30mg 1c/24h, baclofeno 10mg 1c/8h, AAS 100mg 1c/24h (a días alternos), tizanidina 4mg 1c/8h. Empagliflozina 10mg ***INTRAOPERATORIO: Se interviene bajo AG balanceada. IOT sin incidencias CORMACK 1. 2 VVP 18G y Arteria Radial derecha + posteriormente durante cirugía canalización de VCVYID 3 luces. Transfusión: 5 CH, 1 PFC, 2 gr fibrinógeno + 20mg albumina. Heparina sódica iv: 5.000UI a las 7.30h. PFC de NA hasta 0,2mcg/kg/min ***LLEGADA REA: paciente intubado conectado a VM, hemodinamicamente instable dependiente de DVA para mantenimiento de TAM

Intervención quirúrgica: Sangrado arteria femoral

Tipo de intervención: urgente

Tipo de ventilación: mecanica

Volumen Tidal: 450

Frecuencia Respiratoria: 14

Presión Pico:

PEEP: 7

EtCO2:

Constantes

Frecuencia Respiratoria: 14 rpm

Frecuencia Cardíaca: 100 bpm

Analítica

Creatinina: 0.89 mg/dL

Urea: 39.7 mg/dL

Láctico: 2.6 mmol/L

pH: 7.28

Bicarbonato: 20.3 mmol/L

Hemoglobina: 8.2 g/dL

Leucocitos: 22060 /mm³

Plaquetas: 152000 /mm³

INR: 1.25

TPTA: 31 s

Actividad de Protrombina: 72 %

Evaluación de Severidad Clínica

APACHE II: 26 puntos (Rango: 0–71 · ≤10: leve · 11–20: moderada · 21–30: grave · >30: crítica)

SAPS II: 42 puntos (Rango: 0–163 · ≤30: leve · 31–50: moderada · 51–70: grave · >70: crítica)

SOFA: 4 puntos (Rango: 0–24 · ≤6: leve · 7–12: moderada · 13–18: grave · >18: crítica)

Evaluación visual: normal

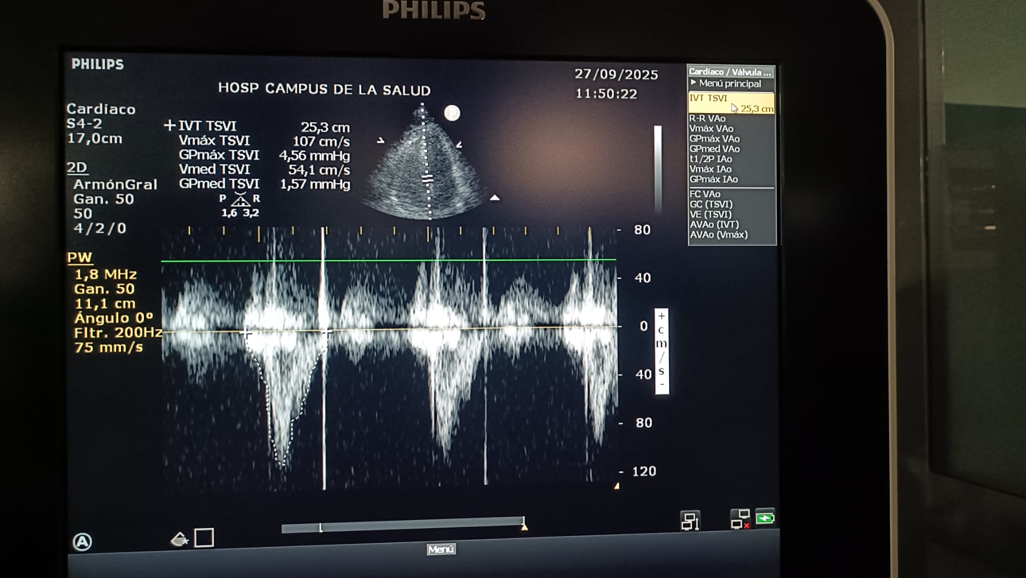
IVT: 25.3

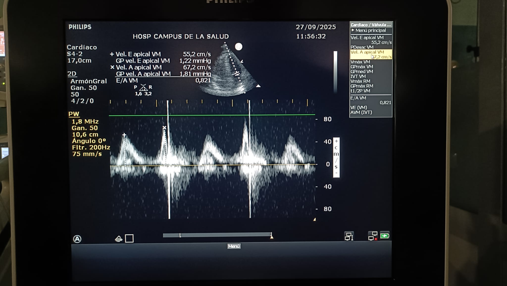
Relación E/A: 0.821

Relación E/E' lateral: 6.76

TAPSE: 24.6

Imágenes de Ecocardiografía

VEXUS

Diámetro VCI: 1.73

Colapso VCI: 10%

Evaluación VExUS

Grado VEXUS: 0

Estadio VEXUS: No evaluable

Imágenes de Vexus

Ecografía Pulmonar

Líneas B (Pulmón Derecho): campo_basal


Imágenes de Ecografía Pulmonar

Comentario:

Se interviene bajo AG balanceada. IOT sin incidencias CORMACK 1. 2 VVP 18G y Arteria Radial derecha + posteriormente durante cirugía canalización de VCVYID 3 luces. Transfusión: 5 CH, 1 PFC, 2 gr fibrinógeno + 20mg albumina. Heparina sódica iv: 5.000UI a las 7.30h. PFC de NA hasta 0,2mcg/kg/min

Volver Modificar